Es muy importante realizar un estudio oftalmológico si nuestros gatos han sido diagnosticados de hipertensión sistémica arterial, insuficiencia renal o hipertiroidismo, puesto que aumenta el riesgo de padecer ceguera.
Lucía, una gatita de 13 años de edad de raza común europea, acudió a nuestra consulta debido a que sus propietarias observaron que tenía dificultades para subir escaleras, caminaba de manera torpe y parecía desorientada.
Además, notaron que desde hacía 48 horas, la pupila de su ojo izquierdo estaba completamente dilatada y el ojo tenía un aspecto amarillento. Esta pérdida repentina de visión había dejado a Lucía prácticamente ciega en poco tiempo, lo que preocupaba mucho a sus dueños.
Debido a que a Lucía se le había enucleado el ojo derecho algunos años atrás, sus propietarias acudieron urgentemente a IVO Ibiza con la esperanza de que pudiéramos hacer todo lo posible para salvar la visión del ojo que le quedaba.

Exploración y diagnóstico
Durante la exploración oftalmológica en consulta, observamos que Lucía tenía la pupila completamente dilatada y no reaccionaba a los estímulos de luz ni tenía reflejo a la amenaza.
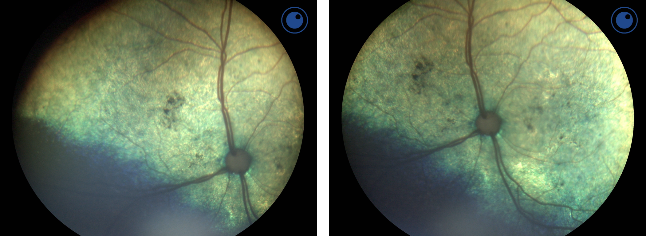
Tras realizar un examen oftalmológico exhaustivo, se diagnosticó un desprendimiento de retina como resultado de su hipertensión sistémica, que también estaba asociada con insuficiencia renal.

¿Qué es la hipertensión arterial sistémica?
La hipertensión sistémica es común en gatos y se define como una presión arterial por encima de valores normales. Entre las causas más frecuentes de hipertensión arterial en los gatos, está la insuficiencia renal crónica.
En muchos casos, estos pacientes acuden a consulta debido a una pérdida de visión o ceguera completa, provocada por desprendimientos de retina totales o focales, hemorragias intraoculares (en la cámara anterior y/o retina), degeneración retiniana, hipertensión ocular secundaria, entre otros.
Síntomas:
La hipertensión arterial en mascotas suele ser difícil de detectar si no afecta a otros órganos del cuerpo. Sin embargo, cuando comienza a afectar otros órganos, como los riñones o el corazón, pueden aparecer síntomas como:
- Apatía.
- Pérdida de apetito.
- Adelgazamiento rápido.
- Pupilas dilatadas.
- Pérdida de visión.
- Hemorragias intraoculares.
- Cambios de comportamiento.
- Aumento frecuencia respiratoria.
- Dificultad para respirar.
- Entre otros.
Diagnóstico:
El diagnóstico de la hipertensión arterial en mascotas se realiza mediante la medición de la presión arterial con un tensiómetro. Es una prueba sencilla, indolora y que apenas lleva unos minutos. Se coloca un manguito de presión en una extremidad o en la cola de la mascota, en un ambiente tranquilo y minimizando el estrés del animal. Generalmente, se realizan varias mediciones para obtener una media fiable de la presión arterial.

Tratamiento
El objetivo del tratamiento es minimizar al máximo el impacto en otros órganos del cuerpo, como los ojos, riñones, corazón o cerebro, manteniendo la presión arterial por debajo de 160 mmHg.
Para lograrlo, se utilizan varios medicamentos orales (jarabes o pastillas) y se realiza un seguimiento regular de las analíticas sanguíneas, orina y presión arterial.
Con prontitud y en colaboración con su veterinario, iniciamos el tratamiento de Lucía para su hipertensión sistémica con el objetivo de restaurar su visión lo antes posible y evitar la ceguera.
Seguimiento
Después de un par de semanas de tratamiento con la medicación adecuada, Lucía ha recuperado por completo su visión. Ahora, su pupila puede dilatarse y contraerse sin problemas, el desprendimiento de retina se ha resuelto y su hipertensión sistémica ha mejorado notablemente.

Conclusiones
Es muy importante hacer un examen de los ojos en gatos que tienen hipertensión sistémica arterial, insuficiencia renal o hipertiroidismo, porque tienen más riesgo de quedarse ciegos.
Los estudios han enseñado que no hace falta tener una presión arterial muy alta para tener problemas graves en los ojos. Por ejemplo, un gato con una presión arterial de 180 mmHg puede tener sangrados grandes en la retina o quedarse ciego, mientras que otro con una presión arterial de 220 mmHg puede no tener ningún problema en los ojos.
Los estudios han enseñado que no hace falta tener una presión arterial muy alta para tener problemas graves en los ojos.
En los dos casos, es muy importante tratar la hipertensión y seguir muy de cerca la salud de los ojos de nuestras mascotas.
En IVO Ibiza, estamos comprometidos a brindar el mejor cuidado oftalmológico veterinario para nuestras adorables mascotas. Si su mascota está experimentando problemas oculares, no dude en comunicarse con nosotros.






