La luxación del cristalino debe tratarse cuanto antes, especialmente si el cristalino desplazado provoca dolor o si compromete la visión al causar un aumento de presión intraocular.

Cristalino luxado a cámara anterior en un perro. Foto: IVO
La luxación del cristalino es el desplazamiento del cristalino, la lente interior del ojo, causado por un deterioro de los ligamentos que lo sujetan, las llamadas fibras zonulares. La luxación puede ser unilateral o bilateral, es decir, afectar a uno o a los dos ojos al mismo tiempo.
Si el debilitamiento o rotura es de solo una parte de las fibras zonulares hablamos de subluxación del cristalino.
Cuando las fibras zonulares se han roto en su totalidad, según dónde se sitúe el cristalino desplazado hablamos de:

El gráfico muestra las estructuras que rodean el cristalino y cómo, al debilitarse los ligamentos que lo sostienen, éste puede desprenderse y desplazarse (luxación) hacia la cámara anterior o posterior del ojo. Gráfico: IVO.
Los síntomas dependerán de dónde se haya situado el cristalino y de los efectos secundarios que produzca al luxarse:

El gráfico muestra cómo el aumento de volumen del cristalino por la catarata intumescente puede hacer que se rompan los ligamentos que lo sostienen y se produzca su desplazamiento o luxación. Gráfico: IVO.
La especie animal en la que vemos más frecuentemente casos de luxación de cristalino es la especie canina, pero tambien hemos visto casos en gatos, caballos, conejos, hurones, roedores y aves.
En perros, los Bull Terrier, los Fox Terrier o los Spaniel Breton están más predispuestos a la pérdida o malformación de las fibras celulares que sujetan el cristalino, lo que puede causar su desplazamiento de forma espontánea.
Algunas razas de perros, como los Bull Terrier, Fox Terrier o Spaniel Breton entre otras, están más predispuestos a la pérdida o malformación de las fibras zonulares que sujetan el cristalino, lo que puede causar su desplazamiento de forma espontánea.
El diagnóstico se basa principalmente en los signos clínicos y en la exploración con la lámpara de hendidura, que nos permite apreciar si el cristalino se sitúa en cámara anterior, en cámara posterior o si está subluxado.
A veces también necesitamos de una dilatación pupilar para poder ver bien el segmento posterior y la situación exacta del cristalino.
Si el cristalino se luxa a cámara anterior y provoca un edema o hinchazón importante de la córnea que nos dificulte la exploración, es posible que necesitemos también alguna de la siguientes pruebas:
En estos casos siempre comprobamos también la presión intraocular para determinar si se puede estar desarrollando algún tipo de glaucoma secundario a la luxación.
El tratamiento recomendado para la luxación del cristalino es quirúrgico, y es especialmente urgente en el caso de la luxación anterior, en la que el nervio óptico puede estar comprometido y por tanto la pérdida de visión ser irreversible.
En estos casos, el grado de urgencia dependerá de si es posible controlar la presión intraocular. Si es muy elevada y no se reduce valoraremos incluso la posibilidad de una cirugía inmediata de urgencia.
La cirugía tiene por objetivo extraer el cristalino como en una operación de cataratas y, si es posible, colocar en su lugar una lente intraocular para ganar calidad de visión.
Si la rotura de fibras zonulares y el estado de transparencia de la córnea lo permiten, la lente se coloca en el saco capsular (como se hace en la cirugia habitual de cataratas). Pero si la rotura zonular lo impide la lente intraocular se sutura en el sulcus, la región del ojo situada justo detrás del iris.
Si el cristalino luxado ha provocado una ceguera que se considera irreversible, las opciones medicas y quirúrgicas estarán más dirigidas a aliviar el dolor que a recuperar la visión.
En los casos en que el cristalino se sitúa en el segmento posterior y la cirugía no es viable, recomendamos un tratamiento médico con colirios para intentar evitar que el cristalino pase a la cámara anterior, que es donde realmente hay riesgo de que provoque glaucoma y dolor.
Igualmente, en los casos en que la luxación se produce únicamente en uno de los ojos, recomendamos este tipo de tratamiento en el ojo sano ante la probabilidad de que termine produciéndose una luxación también en el ojo no afectado.
Estos tratamientos preventivos se basan en la utilización de mióticos tópicos en gotas.
La complicación más grave es el glaucoma por el aumento de la presión intraocular que provoca lesiones en el nervio óptico y la retina.
Otra complicación grave para la visión es el desprendimiento de retina. También puede provocar uveítis y queratitis.

Sansa es una bulldog inglés de 8 años que padeció una luxación de cristalino del ojo izquierdo, cuya visión perdió posteriormente por glaucoma. Al año siguiente, también le diagnosticamos una luxación de cristalino en el ojo derecho, y debido a su predisposición al glaucoma se está tratando con gotas. Ya que el ojo izquierdo de Sansa no es visual, recientemente realizamos una ciclodestrucción para evitarle el dolor. Foto: IVO

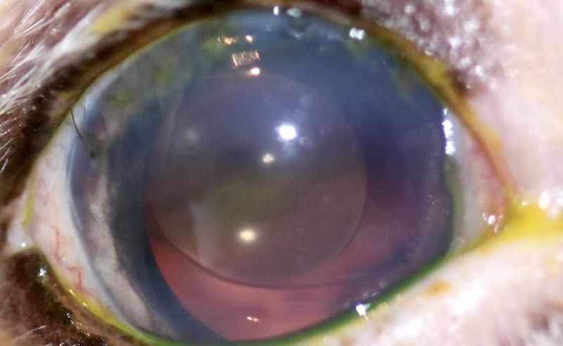
Luxación anterior que provoca queratitis en un perro. Foto: IVO

Luxación posterior del cristalino en un perro. Foto: IVO

Subluxación del cristalino en catarata hipermadura en un perro. Foto: IVO

Lente suturada en sulcus en un perro operado de luxación de cristalino. Foto: IVO

Luxación posterior del cristalino en un gato. Foto:IVO

Luxación anterior del cristalino en un gato. Foto: IVO

Luxación anterior del cristalino en un gato. Foto: IVO

Luxación anterior del cristalino en un gato. Foto: IVO

Luxación posterior del cristalino en un caballo. Foto: IVO
Frente a una presión intraocular incontrolable, en el IVO procuramos salvar el ojo hasta el último momento con cirugías conservadoras como el láser y la prótesis ocular. Éste fue el caso de Lua.
Río acudió al IVO por una luxación de cristalino, pero tras las pruebas diagnósticas pudimos comprobar que no solo era éste el problema que causaba la pérdida de visión y el miedo con el que entró en consulta.
Kyla padecía un glaucoma secundario a luxación de cristalino en ambos ojos. Tras confirmar que no podría recuperar visión se le realizó cirugía de evisceración y colocación de prótesis oculares (ojos artificiales) para para evitar el dolor y mejorar su calidad de vida.