Las úlceras superficiales tienen buen pronóstico, pero si no se curan a tiempo pueden derivar en úlceras infecciosas, con tratamientos más complejos y posible pérdida de visión.
¿Qué es una úlcera corneal y por qué se produce?
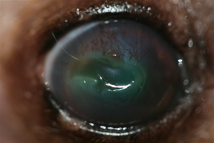
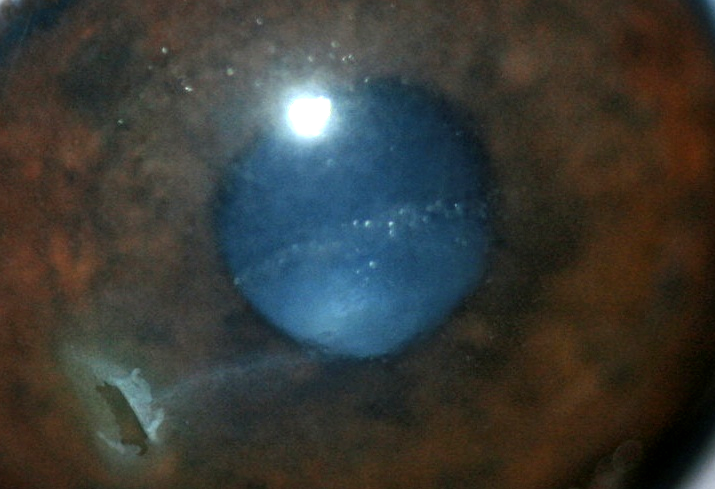
Una úlcera corneal es una herida en la superficie del ojo.
Existen diferentes tipos de úlceras corneales, dependiendo de su origen, su forma, del nivel de afectación y de si existe alguna infección asociada:

Las úlceras más habituales son las derivadas de un traumatismo, ya sea por un objeto que entra en el ojo y produce una pequeña erosión, por un arañazo, etc., pero hay otras causas de úlcera ocular:
- Traumatismos
- Sequedad ocular
- Infecciones
- Enfermedad del epitelio (úlcera indolente, tórpida o defecto epitelial persistente)

Síntomas
Los síntomas pueden ser:
- Mala visión
- Ojo rojo (conjuntiva irritada)
- Necesidad de rascarse o parpadeo frecuente (blefaroespasmo)
- Secreción mucosa o purulenta
- Sensibilidad la luz o fotofobia
- Ojo lloroso o con mucho dolor

Tratamiento
El tratamiento depende del tipo y evolución de la úlcera o herida.
Úlcera superficial
Inicialmente se aplica un colirio con antibiótico suave tres veces al día para que no se infecte, y un antiinflamatorio oral para reducir el dolor. La herida suele cicatrizar en poco tiempo (6 o 7 días), y habitualmente no hay complicaciones
Úlcera infecciosa
Requiere un tratamiento antibiótico más intensivo.
El Crosslinking es un tratamiento que se está consolidando como una técnica efectiva en este caso de úlcera. Consiste en el una aplicación combinada de rayos UVA y vitaminas sobre la córnea.

Úlcera indolente o tórpida
Si después de dos semanas de tratamiento con gotas la herida aún no ha cicatrizado, pueden ser necesarias pequeñas intervenciones para ayudar a la cicatrización. Más información sobre las úlceras indolentes o tórpidas.
Perforación corneal
Cuando la úlcera corre el riesgo de perforar el globo ocular, dejando las estructuras intraoculares desprotegidas, será necesaria una cirugía urgente para preservar el ojo.
Técnica de desbridamiento con fresa diamante o de Diamond Burr
En algunos casos de úlcera corneal es necesario aplicar la técnica llamada de desbridamiento con fresa diamante o de Diamond Burr, que permite extraer la capa superficial de la córnea (queratectomía superficial) para favorecer la cicatrización.



Riesgos y posibles complicaciones
Las úlceras superficiales tienen buen pronóstico, habitualmente son pequeñas y no dejan cicatriz. Es importante tratarlas y asegurar su curación, para evitar que se infecten.
Las úlceras infecciosas pueden requerir de tratamientos más complejos para evitar pérdida de visión o que deriven en queratitis infecciosa (inflamación de la córnea) o queratoconjuntivitis (inflamación de la conjuntiva, la membrana interna del párpado).
Razas más predispuestas
Las razas de ojos saltones (bulldog francés, carlino) tienen más probabilidades de sufrirlas y de que éstas se infecten.
Hay algunos tipos de ojos más predispuestos a las úlceras, como es el caso de pacientes con síndrome de ojo seco.
Las úlceras tórpidas (defecto epitelial persistente) en muchas ocasiones tienen un componente hereditario, por lo que son más frecuentes en determinadas razas:
- Gato persa
- Bulldog Francés
- Bulldog Inglés
- Caniche
- Bóxer
A este tipo de úlcera anteriormente se la denominaba úlcera del bóxer, por ser la raza que más típicamente la presentaba.






Vídeos de operación de úlceras corneales
- Perforación corneal con injerto de membrana amniótica. Cirugía de perforación corneal en un perro. La técnica utilizada es un injerto de membrana amniótica con posterior recubrimiento con membrana nictitante.
- Recubrimiento conjuntival. Recubrimiento conjuntival en un perro de raza carlino que presenta una úlcera corneal profunda colagenasa positiva.
- Perforación Hernia Iris. Gata de 4 semnas de edad que presenta perforación de la córnea con hernia de iris. Realizamos iridectomía y sutura de la herida corneal.
- Extracción de cuerpo extraño en la córnea. Extracción de 3 porciones de cristales intraestromales en la córnea.
- Cirugía de injerto de córnea tectónica en un caballo