Síntomas y antecedentes del caso
Mia es una gata Europea de 6 semanas de vida que fue recogida de un huerto en Andorra.
Mia tenía un problema en el ojo izquierdo, con mucha secreción y molestias que no mejoraban con el tratamiento tópico, por lo que fue referida a nuestro centro.

Pruebas y diagnóstico de entropión con úlcera infectada y secuestro corneal
La exploración oftalmológica con biomicroscopía permitió confirmar que esta pequeñísima paciente presentaba un entropión severo en el párpado superior del ojo izquierdo, es decir, que su párpado se enrollaba hacia dentro y los pelos de la piel del párpado rozaban la córnea.
El roce contante de los pelos en la córnea había provocado una úlcera infectada con secuestro corneal: una herida infectada que, en lugar de cicatrizar, había causado una necrosis o zona muerta en la superficie corneal.

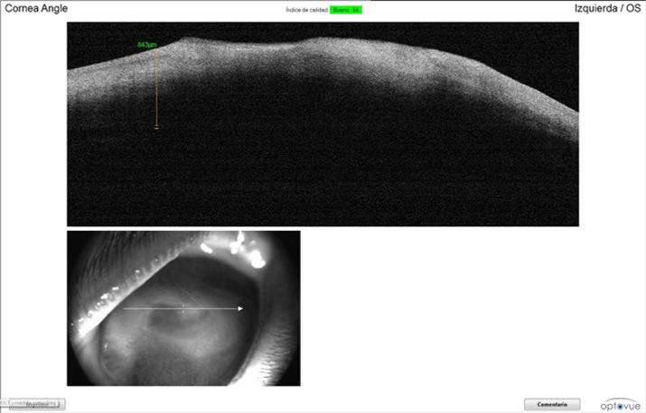
Dada la gravedad de la lesión corneal de Mia, se recomendó realizar una OCT para valorar el grosor corneal.
En secuestros corneales como el de Mia es importante evaluar este aspecto dado que la necrosis no tiene por qué quedarse en las zonas superficiales de la córnea, sino que puede ir avanzando en profundidad llegando a ocupar todas las zonas de la córnea e incluso perforarla.


Tratamiento de entropión en gato con secuestro corneal: blefaroplastia y queratectomía
Tras la valoración completa se recomendó la cirugía de blefaroplastia del ojo izquierdo de Mia así como una queratectomía superficial para extraer el secuestro corneal.
La cirugía se realizó con éxito y ésta es la foto unos pocos minutos después del despertar de la anestesia. ¡Nuestra pequeña Mia tenía mucha hambre!

Ahora nos toca esperar unos días hasta valorar fotos y reportes de la joven paciente para ver su evolución, que por ahora es favorable!



